胸部钝挫伤致室间隔穿孔及左室后壁不完全性撕裂伴二尖瓣脱垂

王五    发布于   2016-10-12

标签 心脏二尖瓣疾病

浏览     2822

【患者信息】

男   16岁

【主诉】

患者左侧胸部被书柜砸倒后出现即刻出现胸痛、胸闷,由急诊入院。

【既往史】

【体格检查】

胸骨旁收缩期III-IV级收缩期杂音。

【辅助检查】

心电图显示完全性右束支传导阻滞。胸片显示双肺挫裂伤,肋骨无骨折。

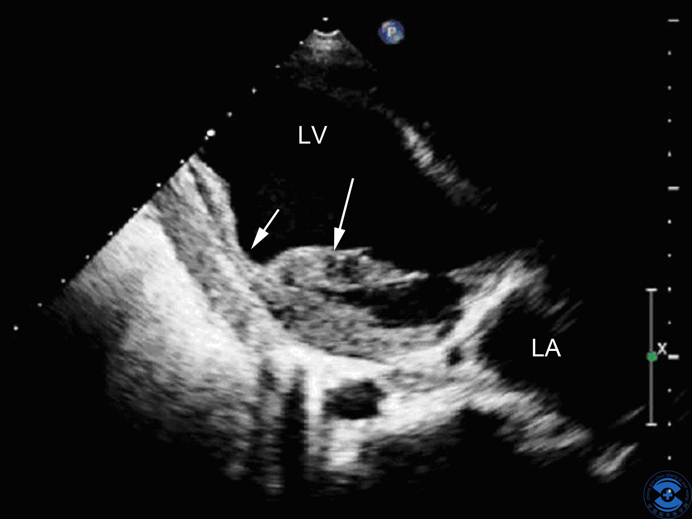
图1 后间隔心尖段回声中断:剑突下四腔心切面见后间隔心尖段回声中断,左室面中断约
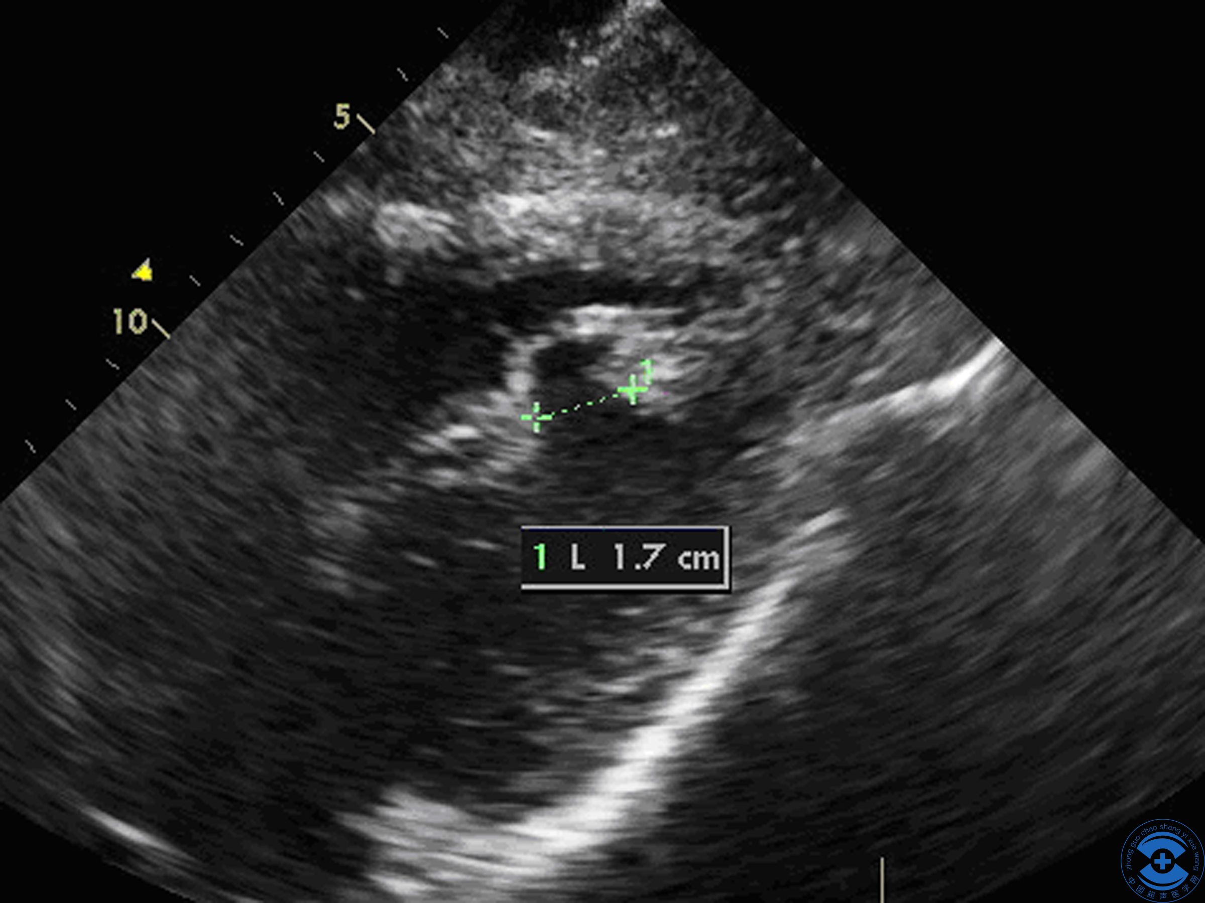
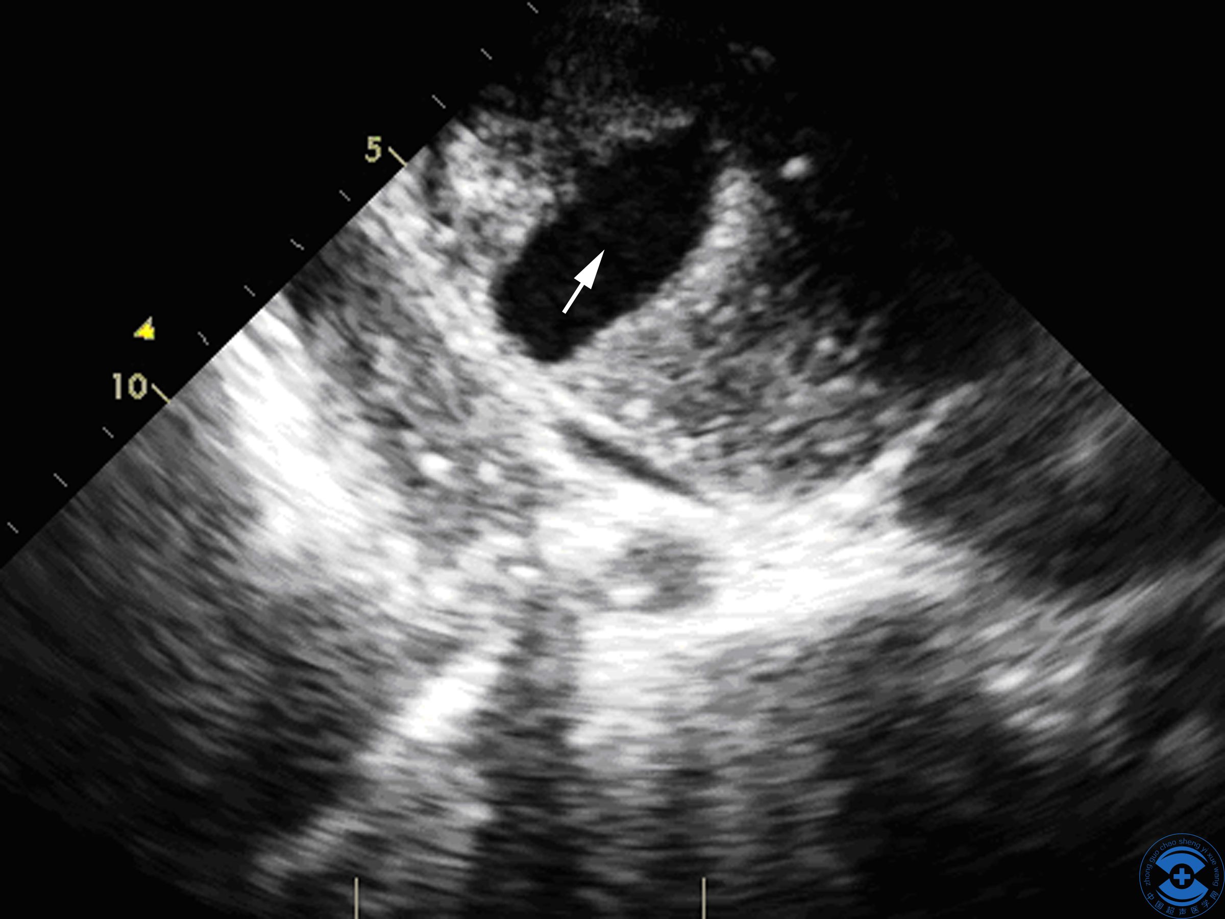
图2 室间隔内裂隙:探头由心尖两腔心切面向下扫查,箭头所示为左室下壁带状非贯通性
图3室间隔内裂隙:探头由心尖两腔心切面向下倾斜,箭头所示为带状非贯通性撕裂伤
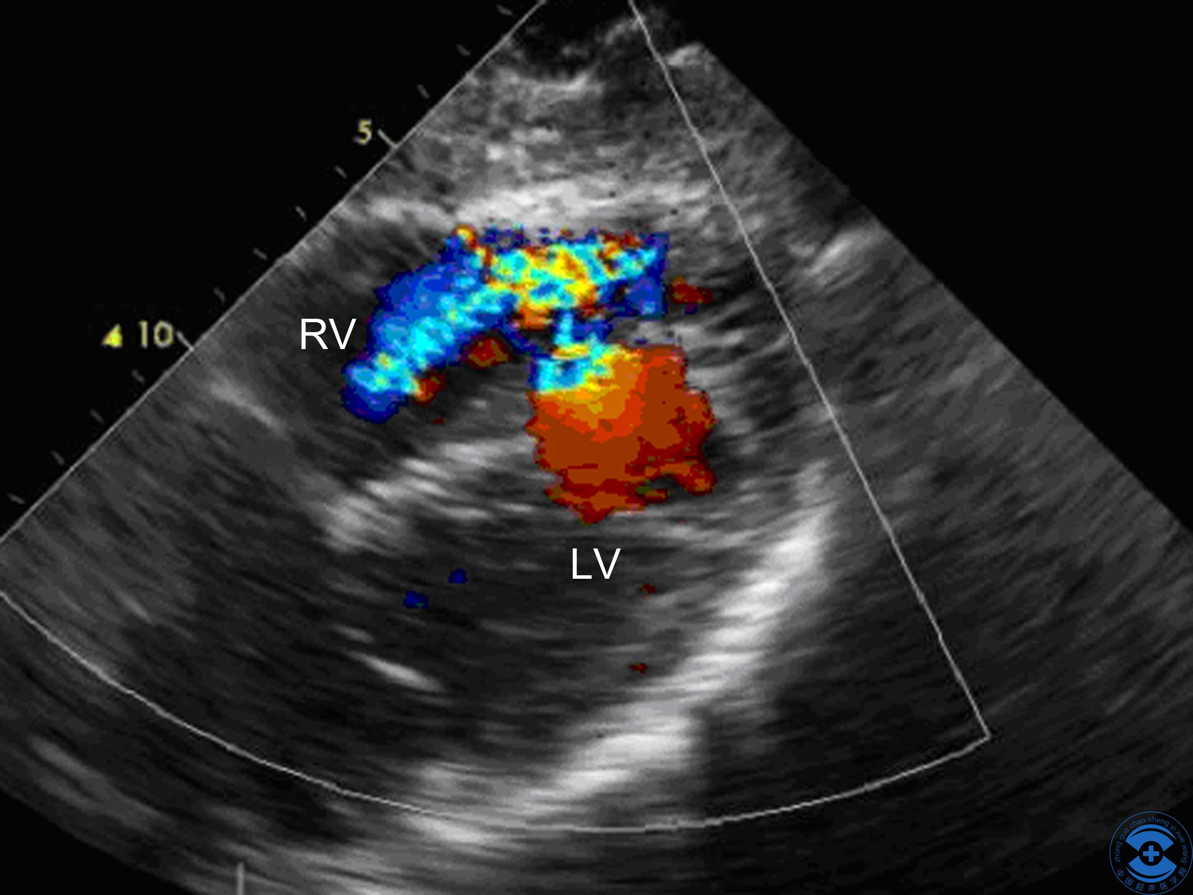
图4 心室水平分流:术前剑突下切面显示室水平分流
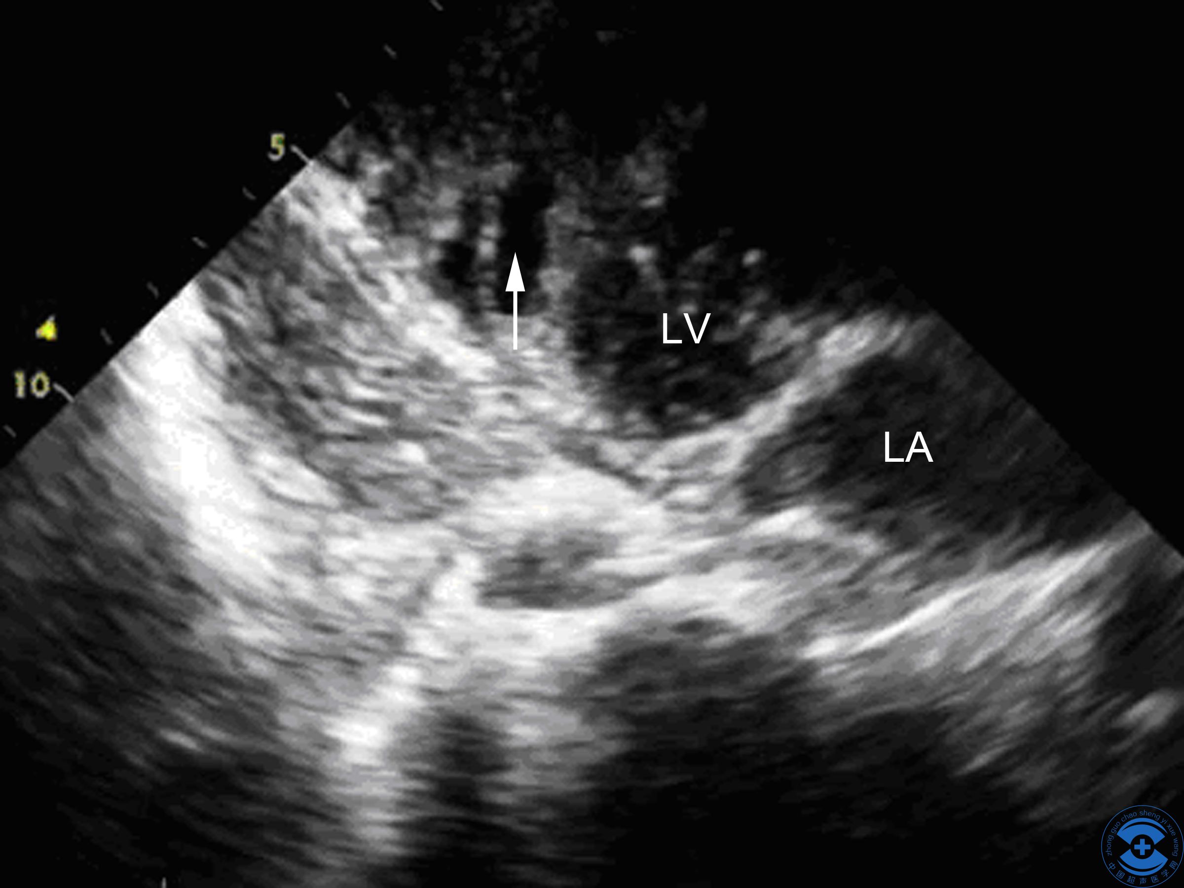
图5 术后超声:术后心尖两腔心切面,短箭头为裂隙修补后的图像,长箭头为乳头肌

胸部钝挫伤致室间隔穿孔及左室后壁不完全性撕裂伴二尖瓣脱垂

【超声提示】

室间隔穿孔及左室后壁不完全性撕裂伴二尖瓣脱垂

【最终诊断】

室间隔穿孔及左室后壁不完全性撕裂伴二尖瓣脱垂

【诊断要点】

【鉴别诊断】

【病例启示】

对于钝性胸外伤的患者应当常规进行超声心动图检查十分重要,它可以诊断心脏瓣膜损害,心肌运动异常及心包积液,间隔穿孔。 对于初始无心脏异常的患者,也应密切其临床症状和体征的变换,新出现的心脏杂音及心电图变化,心肌酶谱显著增高,或突然出现的血流动力学不稳者均要想到延迟发生的室间隔穿孔的可能性。

赞赏 收藏 分享

感谢作者的分享,送点温暖!

5元
8元
15元
30元
50元
100元
支付宝
微信支付
评论 (共 条)